Die medizinische Diagnostik spielt eine entscheidende Rolle bei der Erkennung und Beurteilung von Krankheiten. Sie ist das Fundament der modernen Medizin und ermöglicht es Ärzten, präzise Diagnosen zu stellen und geeignete Behandlungsstrategien zu entwickeln. Der Prozess beginnt in der Regel mit einer gründlichen Anamnese, gefolgt von körperlichen Untersuchungen und verschiedenen diagnostischen Verfahren.
Zu den wichtigsten Bereichen der medizinischen Diagnostik zählen die Labordiagnostik und bildgebende Verfahren, die in nahezu allen medizinischen Fachbereichen Anwendung finden. Diese Technologien helfen dabei, Veränderungen im Körper zu identifizieren und Krankheiten frühzeitig zu erkennen. Angesichts der fortschreitenden Entwicklungen in der Diagnostik, wie beispielsweise der Nutzung von künstlicher Intelligenz und Telemedizin, wird die Genauigkeit und Effizienz in der Patientenversorgung kontinuierlich verbessert.
Schlüsselinformationen:
- Medizinische Diagnostik umfasst Verfahren zur Erkennung und Beurteilung von Krankheiten.
- Der diagnostische Prozess beginnt mit der Anamnese und umfasst körperliche und apparative Untersuchungen.
- Labordiagnostik analysiert Körperflüssigkeiten und Gewebe, um Erkrankungen zu identifizieren.
- Bildgebende Verfahren wie CT und MRT sind entscheidend für die visuelle Diagnostik.
- Moderne Technologien wie künstliche Intelligenz verbessern die Diagnostik erheblich.
- Früherkennung und Therapieüberwachung sind wichtige Aspekte der medizinischen Diagnostik.
- Die richtige Auswahl diagnostischer Maßnahmen ist entscheidend, um Überdiagnosen zu vermeiden.
Die Rolle der medizinischen Diagnostik in der Krankheitsdetektion
Die medizinische Diagnostik ist ein unverzichtbarer Bestandteil der modernen Gesundheitsversorgung. Sie ermöglicht es, Krankheiten frühzeitig zu erkennen und präzise Diagnosen zu stellen. Durch die Kombination verschiedener Untersuchungsmethoden wird sichergestellt, dass die Patienten die richtige Behandlung erhalten, was entscheidend für ihre Genesung ist.
Ein effektiver diagnostischer Prozess verbessert nicht nur die Behandlungsstrategien, sondern trägt auch zur allgemeinen Gesundheitsüberwachung bei. Eine genaue Diagnose ist der erste Schritt zu einer erfolgreichen Therapie und kann sogar Leben retten. Daher ist die Rolle der Diagnostik in der Krankheitsdetektion von zentraler Bedeutung.
Wie medizinische Diagnostik präzise Diagnosen ermöglicht
Die medizinische Diagnostik umfasst eine systematische Herangehensweise, die mit der Anamnese beginnt. Hierbei werden Patienten zu ihren aktuellen Beschwerden, ihrer gesundheitlichen Vorgeschichte und familiären Auffälligkeiten befragt. Diese Informationen sind essenziell, um die richtigen diagnostischen Schritte einzuleiten. Anschließend folgt eine körperliche Untersuchung, die häufig durch chemische oder apparative Tests ergänzt wird, um eine präzise Diagnose zu stellen.
Die verschiedenen Methoden der medizinischen Diagnostik erklärt
Die medizinische Diagnostik umfasst eine Vielzahl von Methoden, die zur Erkennung und Beurteilung von Krankheiten eingesetzt werden. Zu den gängigsten Verfahren gehören Labortests, bildgebende Verfahren und körperliche Untersuchungen. Jedes dieser Verfahren spielt eine entscheidende Rolle, um ein umfassendes Bild des Gesundheitszustands eines Patienten zu erhalten. Die Wahl der Methode hängt oft von den Symptomen und der Krankengeschichte des Patienten ab.
Labordiagnostik ist besonders wichtig, da sie die Analyse von Körperflüssigkeiten wie Blut und Urin ermöglicht. Bildgebende Verfahren wie Röntgen, CT und MRT hingegen helfen, strukturelle Veränderungen im Körper sichtbar zu machen. Körperliche Untersuchungen bieten eine erste Einschätzung der Gesundheit und können oft auf weitere diagnostische Maßnahmen hinweisen.
Wichtige diagnostische Verfahren und ihre Anwendungen
Zu den wichtigsten Verfahren der medizinischen Diagnostik zählen die Labordiagnostik und bildgebende Verfahren. Diese Methoden sind entscheidend für die frühzeitige Erkennung von Krankheiten und die Überwachung des Gesundheitszustands. Labordiagnostik ermöglicht es, spezifische Biomarker zu identifizieren, die auf bestimmte Erkrankungen hinweisen, während bildgebende Verfahren eine visuelle Darstellung der inneren Strukturen des Körpers liefern.
Die Anwendung dieser Verfahren reicht von der Diagnose akuter Erkrankungen bis hin zur Überwachung chronischer Krankheiten. Durch den Einsatz dieser diagnostischen Methoden können Ärzte gezielte Behandlungsstrategien entwickeln und die Wirksamkeit von Therapien überwachen. Die Kombination verschiedener Verfahren ermöglicht eine umfassende Beurteilung der Gesundheit eines Patienten und verbessert die Ergebnisse der medizinischen Versorgung.
Labordiagnostik: Analyse von Körperflüssigkeiten zur Diagnose
Die Labordiagnostik spielt eine zentrale Rolle bei der Erkennung und Überwachung von Krankheiten. Sie umfasst die Analyse von Körperflüssigkeiten wie Blut, Urin und Gewebeproben, um spezifische Erkrankungen zu identifizieren. Zu den häufigsten Tests gehören das Blutbild, das Aufschluss über die Anzahl und Art der Blutzellen gibt, sowie die Urinanalyse, die Informationen über den Stoffwechsel und die Nierenfunktion liefert.
Diese Tests sind entscheidend, um Erkrankungen wie Diabetes, Nieren- und Lebererkrankungen frühzeitig zu erkennen. Weitere wichtige Analysen sind Entzündungsmarker, die auf entzündliche Prozesse im Körper hinweisen, und Tumormarker, die bei der Krebsdiagnose und -überwachung helfen. Die Labordiagnostik ermöglicht es Ärzten, gezielte Behandlungsstrategien zu entwickeln und den Verlauf von Krankheiten zu überwachen.
- Blutbild: Bestimmung der Blutzellen zur Diagnose von Anämie oder Infektionen.
- Urinanalyse: Überprüfung der Nierenfunktion und des Stoffwechsels.
- Stoffwechselparameter: Messung von Glukose und Elektrolyten zur Diagnose von Diabetes.
- Entzündungsmarker: Identifizierung von Entzündungen im Körper.
- Tumormarker: Überwachung von Krebserkrankungen und deren Therapieerfolg.
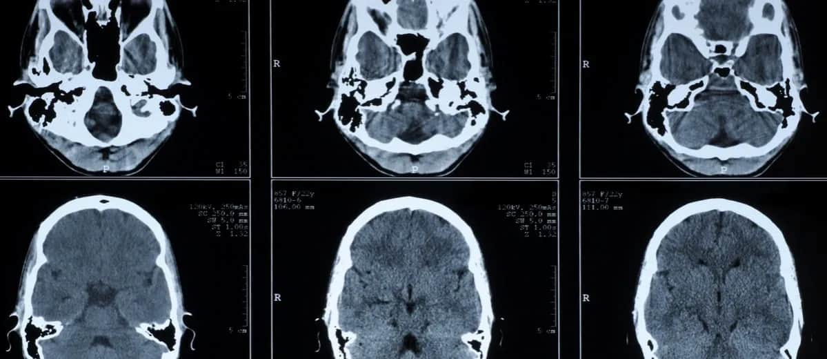
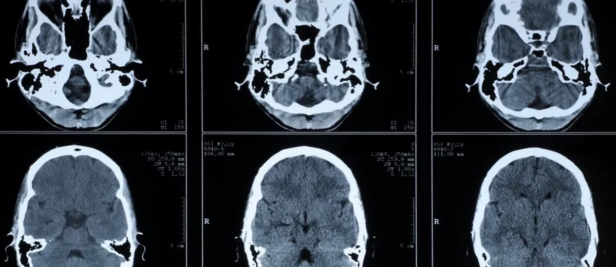
Bildgebende Verfahren: Visualisierung für bessere Entscheidungen
Bildgebende Verfahren sind ein weiterer wichtiger Bestandteil der medizinischen Diagnostik. Sie ermöglichen eine visuelle Darstellung der inneren Strukturen des Körpers, was für die Diagnose von Krankheiten unerlässlich ist. Zu den gängigen bildgebenden Verfahren gehören Röntgenuntersuchungen, Computertomografie (CT) und Magnetresonanztomografie (MRT). Diese Techniken helfen Ärzten, anatomische Veränderungen zu erkennen und Krankheitsprozesse zu beurteilen.
Die Anwendung von bildgebenden Verfahren ist entscheidend, um präzise Diagnosen zu stellen und die geeigneten Behandlungsmöglichkeiten zu wählen. Sie sind besonders hilfreich bei der Diagnose von Tumoren, Verletzungen und anderen Erkrankungen, die durch strukturelle Veränderungen im Körper gekennzeichnet sind. Durch die Kombination von bildgebenden Verfahren mit anderen diagnostischen Methoden können Ärzte ein umfassendes Bild des Gesundheitszustands ihrer Patienten erhalten.
Fortschritte in der medizinischen Diagnostik und ihre Bedeutung
In den letzten Jahren hat die medizinische Diagnostik bedeutende Fortschritte gemacht, die die Art und Weise, wie Krankheiten erkannt und behandelt werden, revolutionieren. Die Integration neuer Technologien hat die Effizienz und Genauigkeit diagnostischer Verfahren erheblich verbessert. Besonders hervorzuheben sind Entwicklungen in der Labordiagnostik und in bildgebenden Verfahren, die durch den Einsatz moderner Geräte und Software optimiert wurden.
Diese Innovationen ermöglichen nicht nur eine schnellere Diagnosestellung, sondern auch eine präzisere Überwachung von Krankheitsverläufen. Dank neuer Analysemethoden und automatisierter Systeme können Ärzte nun umfassendere Daten in kürzerer Zeit auswerten. Solche Fortschritte tragen dazu bei, die Patientenversorgung zu verbessern und die Behandlungsergebnisse signifikant zu steigern.
Innovative Technologien: Künstliche Intelligenz in der Diagnostik
Künstliche Intelligenz(KI) spielt eine zunehmend wichtige Rolle in der medizinischen Diagnostik. Sie hilft dabei, Muster in großen Datenmengen zu erkennen und unterstützt Ärzte bei der Entscheidungsfindung. Durch maschinelles Lernen können KI-Systeme beispielsweise Röntgenbilder, MRT-Scans und andere bildgebende Verfahren analysieren, um Anomalien schneller und genauer zu identifizieren.
| Technologie | Funktion | Effektivität |
| Google DeepMind | Analyse von Augenuntersuchungen zur Erkennung von Krankheiten | Über 94% Genauigkeit in der Diagnostik |
| IBM Watson | Unterstützung bei der Krebsdiagnose durch Datenanalyse | Verbesserte Diagnosegeschwindigkeit um bis zu 30% |
| PathAI | Erkennung von Krebszellen in Gewebeproben | Erhöhung der Diagnosesicherheit um 20% |
Telemedizin: Diagnostik und Behandlung aus der Ferne optimiert
Die Telemedizin hat die Art und Weise, wie medizinische Diagnosen gestellt und Behandlungen durchgeführt werden, erheblich verändert. Sie ermöglicht es Patienten, medizinische Hilfe von zu Hause aus in Anspruch zu nehmen, was besonders in ländlichen Gebieten von Vorteil ist, wo der Zugang zu Fachärzten eingeschränkt sein kann. Durch virtuelle Konsultationen können Ärzte Symptome bewerten und Diagnosen stellen, ohne dass der Patient physisch anwesend sein muss.
Ein wesentlicher Vorteil der Telemedizin ist die Zeitersparnis, sowohl für Patienten als auch für Ärzte. Patienten müssen nicht mehr lange Anfahrtswege in Kauf nehmen, und Ärzte können ihre Zeit effizienter nutzen. Dennoch gibt es auch Einschränkungen, wie die Notwendigkeit, bestimmte Untersuchungen persönlich durchzuführen. Insgesamt hat die Telemedizin jedoch das Potenzial, die medizinische Diagnostik zu verbessern und die Patientenversorgung zu optimieren.

Die Auswirkungen genauer Diagnosen auf die Patientenversorgung
Präzise Diagnosen sind entscheidend für die Qualität der medizinischen Versorgung. Sie ermöglichen es Ärzten, maßgeschneiderte Behandlungspläne zu erstellen, die auf den spezifischen Bedürfnissen jedes Patienten basieren. Wenn Krankheiten frühzeitig und genau erkannt werden, können geeignete Therapien schneller eingeleitet werden, was die Heilungschancen signifikant erhöht. Eine genaue Diagnose verringert auch das Risiko von Fehlbehandlungen und unnötigen medizinischen Eingriffen.
Darüber hinaus trägt eine präzise Diagnose zur Verbesserung der Patientenergebnisse bei. Wenn Patienten die richtige Behandlung zur richtigen Zeit erhalten, führt dies nicht nur zu besseren Gesundheitsresultaten, sondern auch zu einer höheren Zufriedenheit mit der medizinischen Versorgung. Langfristig können präzise Diagnosen auch die Gesundheitskosten senken, da sie die Notwendigkeit für teure Folgetests und Behandlungen verringern. Daher ist die Rolle der Diagnostik in der modernen Medizin von herausragender Bedeutung.
Die Zukunft der medizinischen Diagnostik: Integration von Wearables
Ein vielversprechender Trend in der medizinischen Diagnostik ist die Integration von Wearable-Technologien, die es Patienten ermöglichen, ihre Gesundheitsdaten kontinuierlich zu überwachen. Geräte wie Smartwatches und Fitness-Tracker können Vitalzeichen wie Herzfrequenz, Blutsauerstoffgehalt und Aktivitätslevel in Echtzeit erfassen. Diese Daten bieten Ärzten wertvolle Einblicke in den Gesundheitszustand ihrer Patienten und ermöglichen eine proaktive Diagnostik sowie personalisierte Behandlungsansätze.
Die Kombination von Wearables mit Künstlicher Intelligenz könnte die Diagnostik weiter revolutionieren, indem sie Muster in den gesammelten Daten erkennt und potenzielle Gesundheitsprobleme frühzeitig identifiziert. Zukünftige Entwicklungen könnten auch die Möglichkeit bieten, durch Fernüberwachung und Telemedizin sofortige Anpassungen an Behandlungsplänen vorzunehmen, was die Effizienz der Patientenversorgung erheblich steigern würde. Dieser innovative Ansatz könnte nicht nur die Lebensqualität der Patienten verbessern, sondern auch die gesamte medizinische Landschaft transformieren.
